Skip to content
sdu7seas@gmail.com
Facebook page opens in new window
Linkedin page opens in new window
Instagram page opens in new window
Utah Facial Surgical Arts
Facial Plastic Surgery Services | Med Spa | UT
801-282-5363
BOOK NOW
Home
About Us
MEET DOCTOR URBAN
CERTIFICATIONS
OUR FACILITY
OUR PHILOSOPHY
FACIAL COSMETIC SURGERY TESTIMONIES
ORAL SURGERY TESTIMONIES
BECOME A SURGICAL PARTNER
PATIENT INFORMATION
Introduction
FIRST VISIT
Scheduling
FINANCIAL OPTIONS
INSURANCE
FACIAL COSMETIC SURGERY INSTRUCTIONS
ORAL SURGERY INSTRUCTIONS
ONLINE PATIENT REGISTRATION
SPECIALS
Privacy Policy
VIP SERVICES
Services
FACELIFT AND NECKLIFT
NON SURGICAL FACIAL REJUVENATION
BOTOX COSMETIC
INJECTABLE FILLERS
EYELASH LENGTHENING/LATISSE
LASER RESURFACING
MOLE REMOVAL
SKIN CARE/OBAGI
FACIAL SPIDER VEINS
ACNE TREATMENT
CHEMICAL PEELS
FACIAL RESURFACING
MICRO DERMABRASION
SKIN CANCER
MICRONEEDLING
MORPHEUS8 RADIO FREQUENCY MICRONEEDLING
Facial Aging
Upper Face Procedures
EYELID SURGERY
BROW AND FOREHEAD SURGERY
LATISSE
MIDDLE FACE PROCEDURES
CHEEK IMPLANT
NOSE SURGERY
Jaw Surgery
LOWER FACE PROCEDURES
FACELIFT AND NECKLIFT
MINI FACELIFTS
FACIAL IMPLANTS
CHIN SURGERY
FACE AND NECK LIPOSUCTION
Lip Enhancement
INJECTABLE FILLERS
LIP LIFT
EAR AND EARLOBE
Fat Transfer
Jaw Surgery
REASONS TO CHOOSE DR. URBAN FOR YOUR FACIAL COSMETIC SURGERY
FREQUENTLY ASKED QUESTIONS
Before & After
BEAUTIFY-LIFE LIFT GALLERY
FACELIFT AND NECK LIFT SURGERY GALLERY
EYELID SURGERY GALLERY
JAW SURGERY GALLERY
LIP AUGMENTATION GALLERY
LIP IMPLANTS GALLERY
LIP LIFT GALLERY
FACIAL FILLERS GALLERY
CO2 LASER SKIN RESURFACING GALLERY
ER/YAG LASER SKIN RESURFACING GALLERY
CHIN IMPLANTS GALLERY
CHEEK IMPLANTS GALLERY
FACIAL LIPOSUCTION GALLERY
BOTOX COSMETIC GALLERY
EAR LOBE REPAIR GALLERY
NOSE SURGERY GALLERY
OTOPLASTY GALLERY
MOLE REMOVAL GALLERY
Referring Doctors
Blog
Contact
OUT OF TOWN PATIENTS
Home
About Us
MEET DOCTOR URBAN
CERTIFICATIONS
OUR FACILITY
OUR PHILOSOPHY
FACIAL COSMETIC SURGERY TESTIMONIES
ORAL SURGERY TESTIMONIES
BECOME A SURGICAL PARTNER
PATIENT INFORMATION
Introduction
FIRST VISIT
Scheduling
FINANCIAL OPTIONS
INSURANCE
FACIAL COSMETIC SURGERY INSTRUCTIONS
ORAL SURGERY INSTRUCTIONS
ONLINE PATIENT REGISTRATION
SPECIALS
Privacy Policy
VIP SERVICES
Services
FACELIFT AND NECKLIFT
NON SURGICAL FACIAL REJUVENATION
BOTOX COSMETIC
INJECTABLE FILLERS
EYELASH LENGTHENING/LATISSE
LASER RESURFACING
MOLE REMOVAL
SKIN CARE/OBAGI
FACIAL SPIDER VEINS
ACNE TREATMENT
CHEMICAL PEELS
FACIAL RESURFACING
MICRO DERMABRASION
SKIN CANCER
MICRONEEDLING
MORPHEUS8 RADIO FREQUENCY MICRONEEDLING
Facial Aging
Upper Face Procedures
EYELID SURGERY
BROW AND FOREHEAD SURGERY
LATISSE
MIDDLE FACE PROCEDURES
CHEEK IMPLANT
NOSE SURGERY
Jaw Surgery
LOWER FACE PROCEDURES
FACELIFT AND NECKLIFT
MINI FACELIFTS
FACIAL IMPLANTS
CHIN SURGERY
FACE AND NECK LIPOSUCTION
Lip Enhancement
INJECTABLE FILLERS
LIP LIFT
EAR AND EARLOBE
Fat Transfer
Jaw Surgery
REASONS TO CHOOSE DR. URBAN FOR YOUR FACIAL COSMETIC SURGERY
FREQUENTLY ASKED QUESTIONS
Before & After
BEAUTIFY-LIFE LIFT GALLERY
FACELIFT AND NECK LIFT SURGERY GALLERY
EYELID SURGERY GALLERY
JAW SURGERY GALLERY
LIP AUGMENTATION GALLERY
LIP IMPLANTS GALLERY
LIP LIFT GALLERY
FACIAL FILLERS GALLERY
CO2 LASER SKIN RESURFACING GALLERY
ER/YAG LASER SKIN RESURFACING GALLERY
CHIN IMPLANTS GALLERY
CHEEK IMPLANTS GALLERY
FACIAL LIPOSUCTION GALLERY
BOTOX COSMETIC GALLERY
EAR LOBE REPAIR GALLERY
NOSE SURGERY GALLERY
OTOPLASTY GALLERY
MOLE REMOVAL GALLERY
Referring Doctors
Blog
Contact
OUT OF TOWN PATIENTS
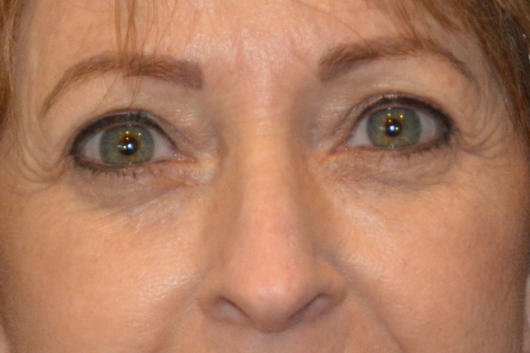
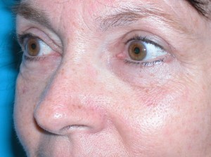
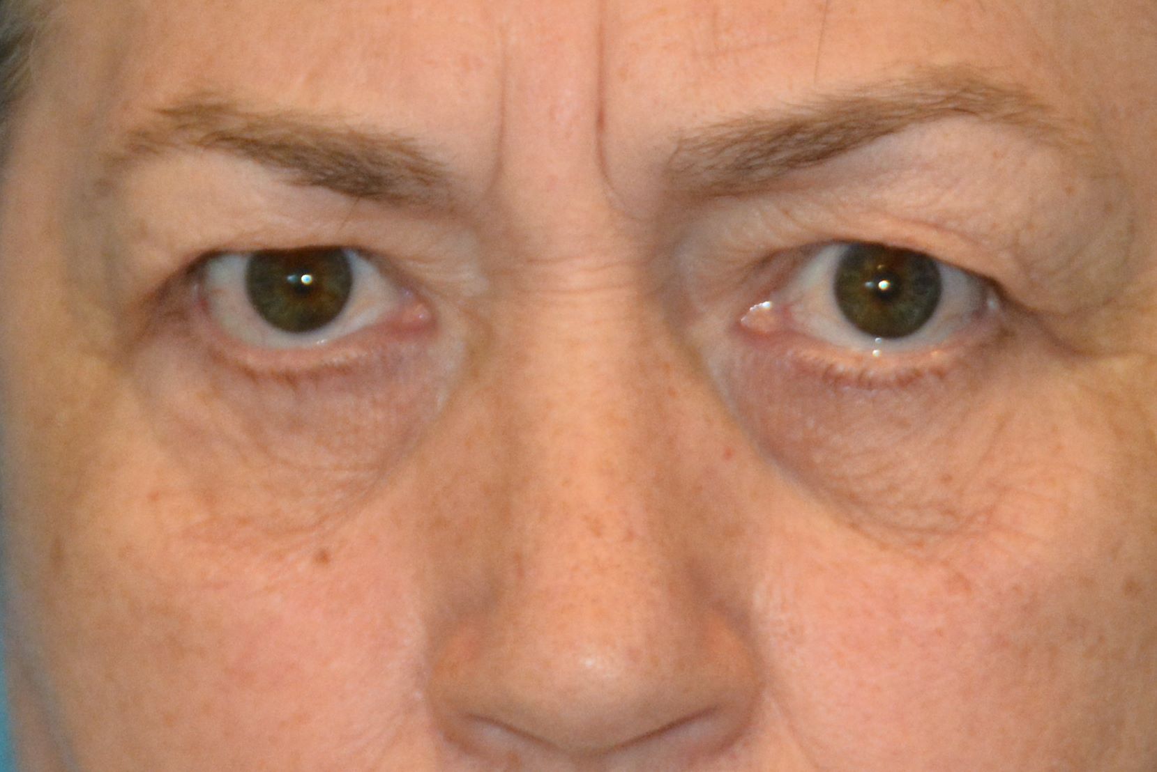
EYELID SURGERY GALLERY
EYELID SURGERY GALLERY
MAKE A CHANGE TO A
MORE YOUTHFUL, BEAUTIFUL YOU
801-282-5363
book now
Go to Top
Call Now Button