
EYELID SURGERY
Age is usually not the question. The primary question is the status of your eyelid anatomy. Younger patients often have problems with prominent prolapsing fat beneath the eyelid skin. These patients often complain of bulging eyelids. Older patients can have any combination of drooping eyelid skin, prolapsing fat, and brow laxity. Consequently, it is important for the surgeon to be able to distinguish between drooping eyelids, extra eyelid skin, drooping brows, fat herniation, fat loss, and any combination of the above.
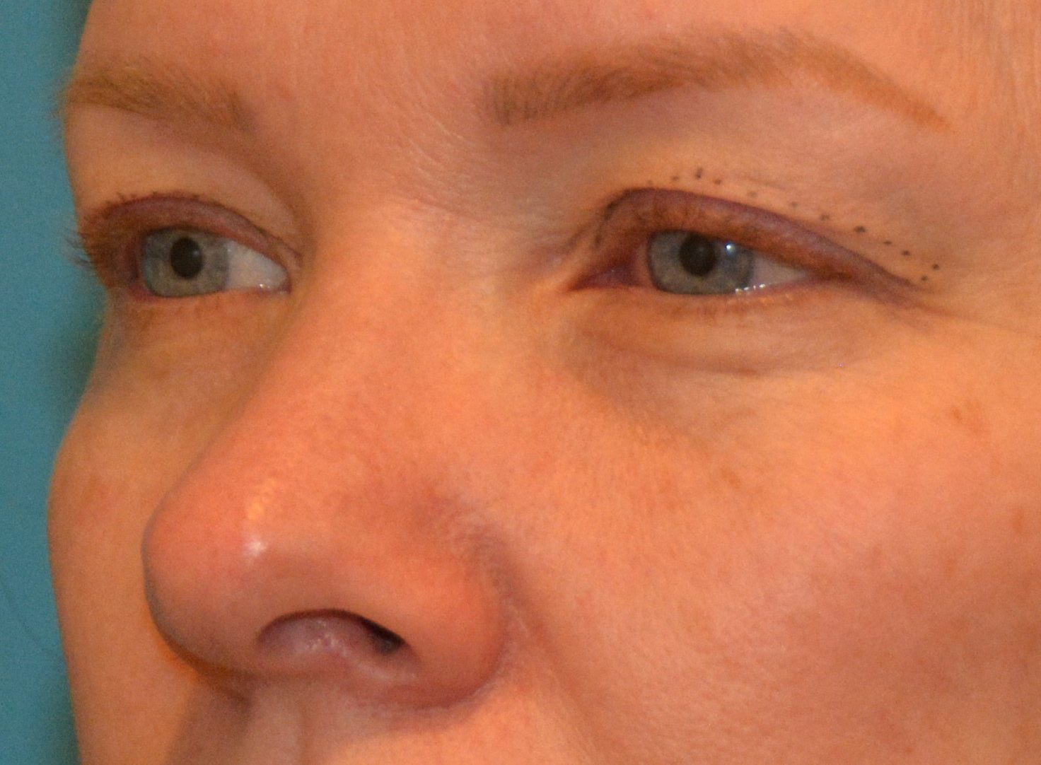
To better understand your overall health, we will evaluate your medical history prior to surgery. In addition, a complete examination of your eyes and face are made in order to make the most effective surgical approach. The amount, distribution, and type of excess skin to be removed are carefully reviewed. Dr. Urban will provide you with pre-operative instructions that may include the elimination of specific drugs containing aspirin several weeks before surgery to minimize excess bleeding. Antibiotics may also be prescribed to prevent infection. The areas that will be excised are marked and digital photographs and computer imaging is performed in order to determine the amount of improvement after surgery.
We can perform blepharoplasty to correct sagging eyelids, bags, or pouches beneath the eyes, as well as excess folds around the eyes. This surgical procedure involves the removal of excess skin and fat on upper and lower eyelids and is often performed in conjunction with other surgical procedures including facelifts, eyebrow, and forehead lifts. Blepharoplasty can be done under general anesthesia or under IV Sedation. Both are very comfortable options. Pre-medication is utilized prior to surgery to decrease swelling after the operation. Dr. Urban will trace the natural lines and creases of your face and make incredibly fine incisions from the inner to the outer edge of the eyelid. Surgery on the upper eyelid is performed first with the incision made in the fold of the lid. The incision is made below the eyelash on the lower eyelid. Any excess fat and skin are removed from the underlying compartments. The amount of fat excised is determined by the degree of protrusion of fat when pressure is applied to the area. Small sutures are used to close the incision and special ointments and dressings may be applied. The surgery can take up to 2 hours. In certain cases, lower eyelid incisions are made inside the lid. The laser may be used at the same time to reduce wrinkles.
The area surrounding the eyes will remain swollen in the days following the surgery. It should begin to subside after the first day. Some vision blurring is normal. The stitches will be removed in 4-5 days. Swelling and bruising will persist for about 10 days, but you can begin wearing makeup to help conceal these concerns. You may expect to resume normal activity within a week to 10 days, and start enjoying your new look within approximately 10-14 days. It may take about 6 months for the scars to lose their redness. Wrinkling will recur later in life, however, it is unlikely that the bags will recur because the fat has been removed. Deeper wrinkles around the outer eye extended onto the temple are not greatly affected by the eyelid lift. These areas may be treated with laser resurfacing. Initially, drying of the eyes can occur after blepharoplasty. This condition can be alleviated with medication. In addition, you may be sensitive to bright light and wind for a period of time. Numbness and itching may also occur during the healing process. A final evaluation may occur within several months from the initial surgical procedure.
Dr. Urban is dual board-certified and fellowship-trained in Facial Surgery. If you’re interested in having cosmetic Eyelid Surgery or another procedure, please call our office and well schedule your $100 value personal complimentary consultation today! During your complimentary consultation, Dr. Urban will listen to your treatment goals and discuss with you all of the various non-surgical and surgical options including advantages, disadvantages, benefits, risks, preoperative care, and postoperative care. There is no pressure to select a treatment. We only want you to be happy with your decision and your results. Based on your evaluation, Dr. Urban will help you determine the most appropriate way to achieve your desired result.














